Before and After Gallery
-
Before
After
This patient came in with large, fractured central incisors. We were able to build up the teeth with a composite filling as an emergency service. We later placed ceramic crowns to ensure a lasting restoration.
-
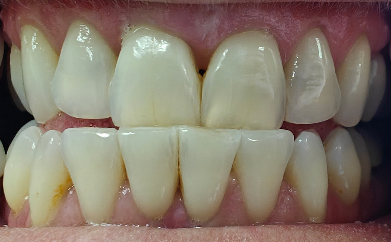
Before
After
This patient was unhappy with the appearance of her crown and it also needed to be replaced due to decay underneath it. We were able to create a more natural looking crown.
-
Before
After
This patient came in with broken lateral incisors. We restored them with ceramic crowns and matched them with the contours of her other teeth so everything looks natural.
-
Before
After
This patient needed her front tooth extracted due to severe periodontitis. She chose to have a bridge instead of an implant. The bridge gave her teeth a more consistent color which helped brightened her smile.
